Луганские врачи провели первые пять операций по извлечению тромба из артерии

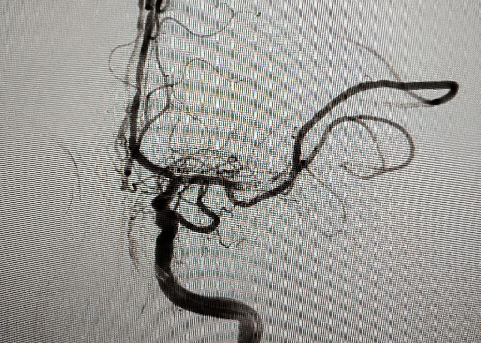
Фото: Официальный Телеграм-канал министра здравоохранения ЛНР Наталии Пащенко Врачи Луганской республиканской клинической больницы (ЛРКБ)  провели первые пять операций по эмболизации аневризмы головного мозга.

Фото: Официальный Телеграм-канал министра здравоохранения ЛНР Наталии Пащенко

Врачи Луганской республиканской клинической больницы (ЛРКБ)  провели первые пять операций по эмболизации аневризмы головного мозга. Об этом в своем Telegram- канале сообщила министр здравоохранения ЛНР Наталия Пащенко.

Она отметила, что в связи с открытием Республиканского сосудистого центра на базе ЛРКБ были запущены два метода лечения больных с острыми нарушениями мозгового кровообращения - ишемические инсульты, возникающие вследствие закупорки тромбами магистральных артерий, питающие головной мозг. Суть лечения таких пациентов заключается в устранении тромба, препятствующего току крови по крупным питающим артериям.

"Впервые в ЛНР для лечения этой патологии применяется хирургический и нехирургический метод, успешно проведены 13 тромболитических терапий, пять успешных операций - эндоваскулярная тромбэкстракция, которые относятся к высокотехнологичным операциям. И все они выполнены нашими подготовленными специалистами", - проинформировала министр.

Она пояснила, что в процессе операции через бедренную артерию пациенту вводится микрокатетер, который далее проводится под рентгеном до сосудов головного мозга. По микрокатетеру заводится внутрисосудистый стент-ретривер - специальная ловушка для тромба. Стент-ретривер раскрывается на уровне тромба, оценивается захват тромба стентом, далее стент-ретривер удаляется в раскрытом виде. Таким образом в процессе операции артерия освобождается от тромба, восстанавливается кровообращение, препятствуя развитию инсульта. 

Последние новости

Технологии сна: как современные матрасы помогают лучше высыпаться

Обзор инноваций и материалов, которые делают сон комфортнее, глубже и полезнее для здоровья.

СЭЗ в Донбассе и Новороссии привлекла 35 млрд рублей инвестиций

Фото: Луганский Информационный Центр Свободная экономическая зона (СЭЗ) в Донбассе и Новороссии привлекла 35 млрд рублей инвестиций.

В Ростове-на-Дону прошел форум «Интеграция — 2025. Перспективы развития исторических регионов России»

В Ростове-на-Дону прошел форум «Интеграция — 2025. Перспективы развития исторических регионов России»  Ключевой темой обсуждения стало восстановление исторических регионов.

Коррекция фиброза и возрастных изменений: когда показан эндотканевой лифтинг

Как современная технология помогает вернуть коже упругость, убрать отёки и улучшить рельеф без хирургии

На этом сайте представлены актуальные варианты, чтобы снять квартиру в Петропавловске-Камчатском на выгодных условиях

Комментарии (0)

Добавить комментарий

Ваш email не публикуется. Обязательные поля отмечены *